インプラント治療

implant

キレイな歯って、いちばんの自己肯定感。

キレイな歯って、
いちばんの自己肯定感。

インプラント治療は、歯を失った部分に人工の歯根(インプラント)を埋め込み、その上に人工の歯(クラウン)を装着することで、見た目や機能を回復する治療法です。顎の骨にしっかり固定されるため、入れ歯やブリッジに比べて自分の歯に近い感覚で噛むことができるのが特徴です。入れ歯やブリッジと異なり、周りの歯を削ったり、他の歯に無理な力をかけずに失った歯を補うことができるため、周囲の歯の生存率を上昇できることも知られています。

ぜひお気軽にご相談ください。

仙台でインプラント治療をご検討中の方へ。

インプラント治療は、失った歯の機能と見た目を回復できる優れた治療法である一方、診断・治療計画・術式によって結果に大きな差が出る治療でもあります。

仙台ウィステリアデンタルクリニックでは、CTを用いた精密診断と、一人ひとりの骨の状態・噛み合わせ・将来的なメンテナンスまで考慮した治療計画を重視し、安全性と長期的な安定性を大切にしたインプラント治療を行っています。

治療は、インプラント治療に専門的に取り組んできた歯科医師が担当し、必要に応じてデジタル技術を活用したガイド手術なども取り入れています。

「インプラントが本当に自分に合っているのか」
「他院で難しいと言われたが治療できる可能性はあるのか」
そうした疑問や不安に対しても、分かりやすく丁寧にご説明いたします。

仙台でインプラント治療をお考えの方は、どうぞ一度ご相談ください。

治療法噛む力見た目周りの歯への
影響
違和感
インプラント◎しっかり
噛める
◎自然◎削らない◎少ない
ブリッジ○比較的
噛める
○比較的自然×周りの歯を
削る必要あり
○ややある
入れ歯△噛む力は
弱い
△バネが目立つ
ことがある
〇一部削る
必要あり
×違和感が
出やすい

→横にスクロールできます

インプラント無料相談

相談は無料です。他院さまで難しいと言われた場合であってもお気軽にご相談ください。

当院のインプラント専門医(米国資格)

院長は、米国ロマリンダ大学歯学部インプラント科大学院にて3年間の専門研修プログラムを修了し、インプラント治療に関する研究によりMaster of Science in Dentistry(MSD)の学位を取得しています。
同プログラムは、世界各国から選抜された歯科医師が、インプラント治療を理論と臨床の両面から徹底的に学ぶ教育課程です。

アメリカではインプラント科チーフレジデントとして、即時埋入や骨造成を含む高度なインプラント治療を担当してきました。
現在は、その経験を仙台の地域医療に活かし、安全性と長期的な安定性を重視した治療を行っています。

インプラント治療が適しているかどうかも含め、分かりやすくご説明します。

上村俊介

かみむらしゅんすけ

当院のインプラント治療

インプラント治療

他院で「骨が少ない」「条件が厳しい」と言われ、インプラントを諦めた方でも、治療が可能な場合があります。
当院では、アメリカでの研修・臨床経験をもとに、骨量が少ない症例や審美性が求められる難症例のインプラント治療にも対応しています。インプラントを諦めてブリッジや入れ歯を検討している方にも、インプラントという選択肢をご提案できる可能性があります。

インプラント治療では「噛めること」だけでなく、「自然で美しい仕上がり」が重要です。
特に前歯部のインプラントでは、周囲の歯や歯肉との調和が求められます。

当院では、歯の形・色・歯肉のラインまで考慮し、審美性を重視した前歯のインプラント治療を行っています。
見た目に不安がある方も、安心してご相談ください。

インプラント治療は失った歯を人工物で補う治療法ですが、元のご自身の歯には勝りません。当院では専門医間で連携をとり、まずは歯の保存に努めます。

オールオン4(All-on-4)とは、上下それぞれ最小4本のインプラントを埋入し、固定式の歯を装着する治療法です。
短期間で噛み合わせと見た目の回復が期待でき、以下のような方に適しています。

  • 多くの歯を失ってしまった方

  • 総入れ歯が合わず、よく噛めない方

  • 入れ歯が外れることに不安がある方

オールオン4は治療計画・手術・補綴まで高度な技術が必要な治療です。
当院では、経験豊富なインプラント専門医が、患者さまと十分に相談を行い、万全の体制で治療に取り組みます。

仙台市でオールオン4をご検討中の方は、まずはご相談ください。

当院のインプラントの技術

治療前

サイナスリフト GBR
サイナスリフト GBR

インプラントを埋入する骨の厚みが十分にありません。

治療後

サイナスリフト GBR
サイナスリフト GBR

人工の骨を使って骨の厚みを確保し、インプラント治療を行いました。

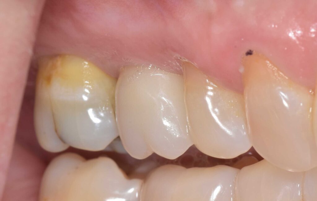
治療前

前歯部インプラント

治療後

前歯部インプラント

折れてしまった歯を抜去し、周りの歯に調和したインプラント治療を行いました。

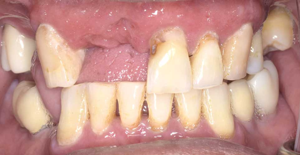
治療前

インプラント治療 オールオン4
インプラント治療 オールオン4

治療後

インプラント治療 オールオン4
インプラント治療 オールオン4

虫歯と歯周病でボロボロになった歯の抜歯を行い、当日に4本のインプラントを埋入し,仮歯まで装着しました。

ストローマンインプラント を使用しています

ストローマンインプラント

を使用しています

当院では、インプラント治療にストローマン社製のインプラントを使用しています。
ストローマンはスイスに本社を置く世界的なインプラントメーカーで、長期的な臨床データと安全性が評価され、世界70か国以上で使用されています。
精密な製造技術と豊富な研究データに基づき、長期的な安定性を重視したインプラント治療を行っています。

インプラント治療費

すべて税抜

インプラント診査、診断料

25,000円

インプラント手術料

80,000円

インプラント体

180,000円(1本)

インプラント補綴技術料

45,000円

ガイド使用料

50,000円

プロビジョナルレストレーション

20,000円

クラウン

98,000円~150,000円

【費用例】

インプラント1本の総額:478,000円(税抜)〜

※骨造成が必要な場合や前歯部インプラントの場合は、状態により追加費用がかかることがあります。
※治療内容・費用については、診査・診断のうえ事前にご説明いたします。

インプラント5年保証について

当院では、患者さまに安心してインプラント治療を受けていただくため、インプラント治療に5年保証制度を設けています。
適切な治療と継続的なメンテナンスを行った場合、通常の使用下で起こったトラブルについては、5年間、再治療を保証いたします。
※返金・金銭補償は行いません。

• 当院で行ったインプラント治療
• インプラント体および被せ物(クラウン等)

• 定期的なメンテナンス(3〜6か月ごと)を受けていること
• 医師・歯科衛生士の指示(清掃、ナイトガードなど)を守っていること
• 全身状態(糖尿病など)が適切に管理されていること

• 定期メンテナンスを受けていない場合
• 転倒や事故などによる破損
• 喫煙やマウスピースの使用など指示を守らなかった場合
• 加齢による見た目の変化
• 他院での処置・修正が加わった場合

インプラントは「入れて終わり」の治療ではありません。
定期的なメンテナンスを続けることで、長く快適に使うことができます。

当院では、治療後も長期的にお口の健康をサポートしていきます。

インプラント無料相談

相談は無料です。他院さまで難しいと言われた場合であってもお気軽にご相談ください。