院長の上村が行った症例です。
■ 主訴
奥歯の入れ歯では噛みにくいため、入れ歯の代わりにインプラントでしっかり噛めるようにしたいとのご希望がありました。
■ 治療内容
奥歯にインプラントを2本埋入し、それを支えに固定式のインプラントブリッジを装着しました。
取り外し式の入れ歯ではなく、固定式のインプラント治療を選択しています。
■ 治療経過
術後4か月で最終補綴物を装着し、治療を終了しました。
■ 治療期間
約4か月
■ 治療のポイント
取り外し式の入れ歯で感じていた
-
噛みにくさ
-
違和感
-
お手入れの大変さ
が解消され、固定式のインプラントブリッジにより、自分の歯のようにしっかり噛める状態になりました。
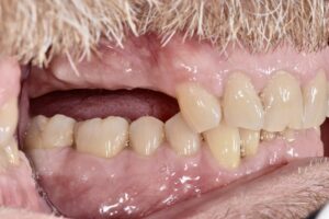
初診時

治療終了時


治療総額 ¥899,000 (税抜)
仙台でインプラント治療をご検討中の方に、無料相談を行っております。
入れ歯で噛めない、お手入れが大変でインプラント治療を考えたいということがございましたら、お気軽にご相談ください。
当院では、アメリカの大学院にてインプラント治療を専門的に研修・研究した歯科医師が、丁寧な診断と安全性を重視した治療を行っています。
▶ インプラント無料相談はこちら
https://wisteria.dental/cancellation-policy
当院のインプラント治療について詳しくは、インプラント治療のご案内ページhttps://wisteria.dental/implantをご覧ください。
※本症例は治療の一例であり、すべての方に同様の結果を保証するものではありません。
※お口の状態や骨の量・質、全身状態により、適応や治療内容・期間は異なります。
※インプラント治療には、腫れ・痛み・感染・治癒不全などのリスクが伴う場合があります。






