審美歯科・ホワイトニング

aesthetic dentistry

変わるのは、見た目だけではなく、人生です。

変わるのは、
見た目だけではなく、
人生です。

審美歯科と聞くと、とにかく歯を白くすることが第一に思い浮かびますが、より天然の歯に近づけることも大切です。色や形が適切でない被せ物(クラウン)の治療を行うと、歯科関係者は偽物の歯だと気づきますし、一般の方でも違和感を覚えます。いかにお口全体に調和させた上で、偽物だとバレないように治療するかが難しいポイントなのです。審美歯科は、美しい笑顔をつくるだけでなく、自信を持って会話や食事ができるようサポートする治療です。そのため、見た目だけでなく、長期的にもむし歯や歯周病になりにくく、またしっかり咬める機能性を持たせることも大切です。

当院では、見た目はもちろんのこと、少しでも長持ちするよう様々な部分に配慮しながら治療を行います。ホワイトニングは歯を美しくすることで、その人に清潔感や自信を与えるため、多くの人に一度は体験してもらいたい治療です。しかし、薬剤の使い方を間違えると、歯の色が変わらないことや、重度の知覚過敏を生じることがあります。当院では専門的な知識を持ってホワイトニング治療を行いますので、興味がある方はお気軽にご相談ください。

審美歯科で解決できること

ホワイトニングは歯を美しくすることで、その人に清潔感や自信を与えるため、多くの人に一度は体験してもらいたい治療です。しかし、薬剤の使い方を間違えると、歯の色が変わらないことや、重度の知覚過敏を生じることがあります。当院では専門的な知識を持ってホワイトニング治療を行いますので、興味がある方はお気軽にご相談ください。

審美治療費(自費診療の場合)

すべて税抜

オフィスホワイトニング

28,000円(1回あたり)

※2回目以降は20,000円

ホームホワイトニング

28,000円

ダイレクトボンディング

25,000-29,000円

セラミックインレー

48,000円〜

セラミッククラウン(陶材築盛なし)

98,000円〜

セラミッククラウン(陶材築盛あり)

120,000円〜

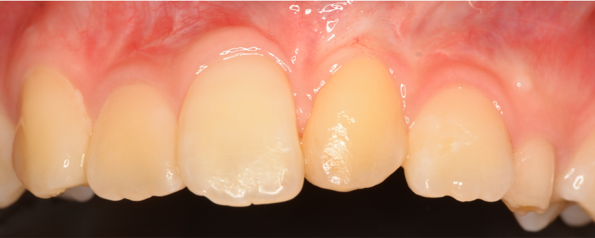
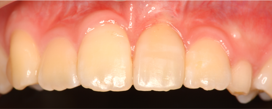
コンポジットレジンで歯の形態を修正した症例

治療前

治療後

当院で行う2つのホワイトニング方法

オフィスホワイトニング
(歯科医院で行うホワイトニング)
ホームホワイトニング
(ご自宅で行うホワイトニング)
特徴歯科医院で歯科医師または
歯科衛生士が行うプロフェッショナルケア
ご自宅でゆっくり白くしていく方法
方法高濃度のホワイトニング薬剤を使用し、
専用の光を当てて薬剤の効果を促進。
歯科医院で作製したマウスピースに
薬剤を入れ、毎日数時間装着。
所要時間1回あたり約60分前後2週間~1か月ほど
効果の実感1回でも白さを実感しやすい
(※個人差あり)
継続して行うと効果が現れる
おすすめの方できるだけ早く白くしたい方
特別なイベント(結婚式や写真撮影など)
を控えている方
自分のペースで白くしたい方
自然な白さを長持ちさせたい方
メリット即効性がある
施術はすべてプロに任せられる
白さが長持ちする
自然な透明感のある仕上がり
自宅でいつでも好きな時にできる
デメリット後戻り(色戻り)が比較的早い
一時的にしみることがある
効果の実感までに時間がかかる
自分で継続する必要がある

→横にスクロールできます