むし歯治療

cavity treatment

むし歯は、多くの人が経験する生活習慣病です。小さなむし歯は痛みがありませんが、むし歯が進行すると歯の中の神経(歯髄)に達して強い痛みにつながり、神経の除去や抜歯の必要性が生じます。むし歯の治療では、感染部分を除去し、コンポジットレジン(プラスチックの詰め物)やインレー(セラミックや金属の詰め物)を用いて修復します。

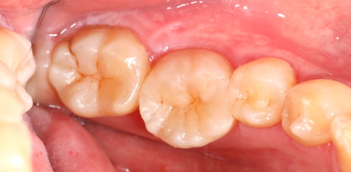
コンポジットレジンを用いたむし歯治療

治療前

治療後

しかし、「むし歯になっても治療すれば大丈夫」ではないのです。
一度治療した場所はもう安心と思われがちですが、実際には詰め物や被せ物と歯のわずかな隙間から再びむし歯が発生すること非常に多いです。

当院のむし歯治療の特徴 (自費診療の場合)

また、むし歯は進行すると神経が死んでしまいます。歯の神経が死んだ状態を放置すると,今度は歯の根の先に膿がたまり、食べ物を噛んだときの痛みにつながります。また、体が弱っている人の場合は、細菌が体内に侵入することで、感染性心内膜炎などの全身疾患の原因となることも報告されています。そうならないためにむし歯の進行で神経が死んでしまった場合は、神経の治療(根管治療)が必要になりますが、重度のケースでは抜歯が必要になります。

虫歯を放置すると…

むし歯を放置することは大変危険です。違和感やしみる症状がある方は、できるだけ早く受診するようにしましょう。

一方、むやみに歯を削ることは良いことではありません。近年では、むし歯治療において歯を削る量は最小限にするMinimal Intervention(MI)という考えが主流になりました。そのため、非常に小さなむし歯の場合は、すぐに歯を削るのではなく、フッ素塗布やクリーニングで進行を防ぎます。当院では詳しい検査の後、患者様と一緒にどのように治療を進めるか決めていきます。一度削った歯は元には戻りません。だからこそ、我々は「なるべく削らない・再発させない」ことを重視しています。

最後に、むし歯を防ぐには、毎日の正しい歯磨きと定期的な歯科検診が重要です。早期発見・早期治療を行い、大切な歯を守りましょう。