補綴治療

prosthetic treatment

歯を失うと見た目が悪くなるだけでなく,食事や会話が困難になり,生活の質が著しく低下します。補綴治療は、失った歯を人工装置(ブリッジ・入れ歯・インプラントなど)によって補い、口腔機能を回復させる治療です。歯の部分的な欠損を被せ物(クラウン)で修復するのも補綴治療です。

補綴治療の選択肢

クラウン

虫歯や外傷で壊れた歯の形や機能を回復する被せ物

入れ歯

複数本の歯を失った場合に対応する取り外し式の装置

ブリッジ

両隣の歯を支えにして、歯を失った部位を補う固定式の人工歯

インプラント

顎の骨に人工歯根を埋め込み、天然歯に近い噛み心地と見た目を再現

補綴治療は、歯を失った部分の治療だけを行えばいいように思われがちですが、実はお口全体のバランスを考える必要があります。人の見た目は左右対称が美しく、お口の中だけでもゴールデンプロポーションという最も美しい歯の比率が存在します。また、左右対称は見た目だけでなく、咬み合わせや食事の効率(咀嚼能率)にも重要です。

当院の補綴の技術

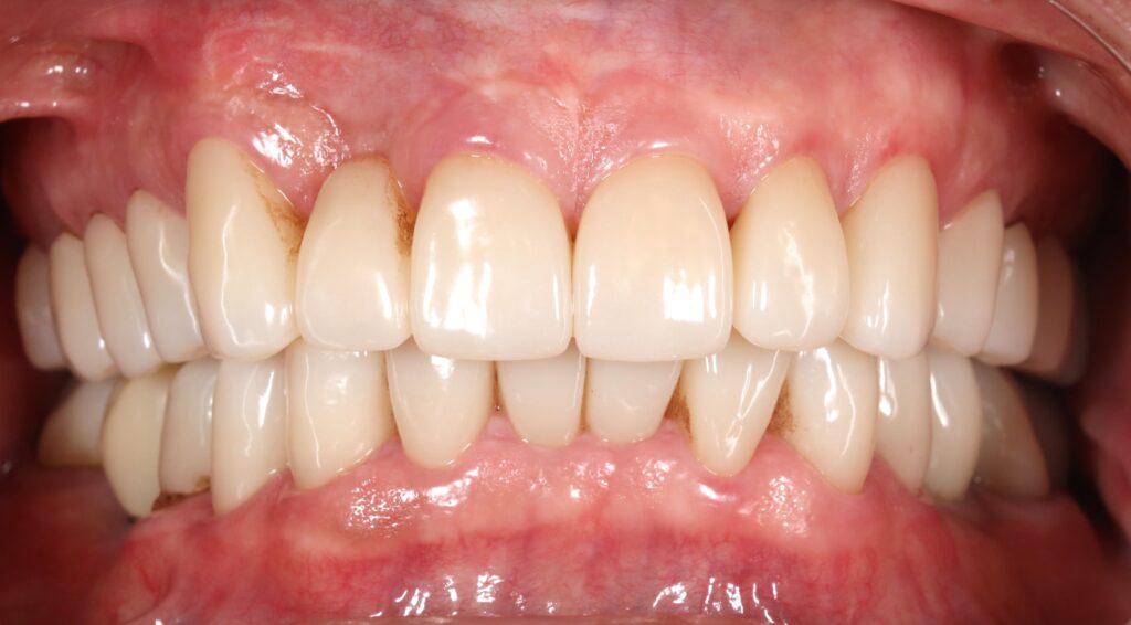
治療前

治療後

当院では大学病院やアメリカで補綴治療を学んだ歯科医師を選択できます。補綴の専門歯科医は咬み合わせや顎の位置を含めたお口全体のバランスを考えて、治療に取り組みます。長期的な治療になることもありますが、少しでも長く皆様が健康なお口を維持できるよう一生懸命頑張ります。

補綴治療費(自費診療の場合)

すべて税抜

セラミックインレー

48,000円〜

セラミッククラウン(陶材築盛なし)

98,000円〜

セラミッククラウン(陶材築盛あり)

120,000円〜

⼊れ⻭(⾦属あり)

150,000-400,000円(⼤きさによる)

⼊れ⻭(⾦属なし)

120,000-300,000円(⼤きさによる)

インプラント

498,000円-