院長の上村が行った症例です。
■ 主訴
総入れ歯が外れやすく、しっかり噛めないため、安定した入れ歯にしたいとのご希望がありました。
■ 治療内容
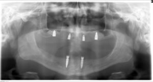
インプラントを下顎に2本、上顎に4本埋入し、
その上にインプラントオーバーデンチャー(インプラントで支える入れ歯)を装着しました。
従来の入れ歯に比べて、
インプラントにより固定力を高めた治療法です。
■ 治療経過
術後約3〜4か月でインプラントと骨の結合を確認後、オーバーデンチャーを装着し、治療を終了しました。
■ 治療期間
約6か月
■ 治療のポイント
これまでの入れ歯で感じていた
・外れやすさ
・噛みにくさ
・違和感
が改善され、
インプラントにより安定した入れ歯となり、
しっかり噛める状態になりました。
また、取り外し可能なため、
清掃性も確保されています。
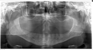
初診時


術後



■ 治療総額
上顎(インプラント 4本) ¥1,305,000(税抜)
下顎(インプラント 2本) ¥856,000(税抜)
※症例により異なります
仙台でインプラント治療をご検討中の方に、無料相談を行っております。
入れ歯が外れる、噛みにくいなどのお悩みがございましたら、お気軽にご相談ください。
当院では、アメリカの大学院にてインプラント治療を専門的に研修・研究した歯科医師が、丁寧な診断と安全性を重視した治療を行っています。
▶ インプラント無料相談はこちら
https://wisteria.dental/cancellation-policy
当院のインプラント治療について詳しくは、インプラント治療のご案内ページをご覧ください。
https://wisteria.dental/implant
※本症例は治療の一例であり、すべての方に同様の結果を保証するものではありません。
※お口の状態や骨の量・質、全身状態により、適応や治療内容・期間は異なります。
※インプラント治療には、腫れ・痛み・感染・治癒不全などのリスクが伴う場合があります。





