院長の上村が行った症例です。
■ 主訴
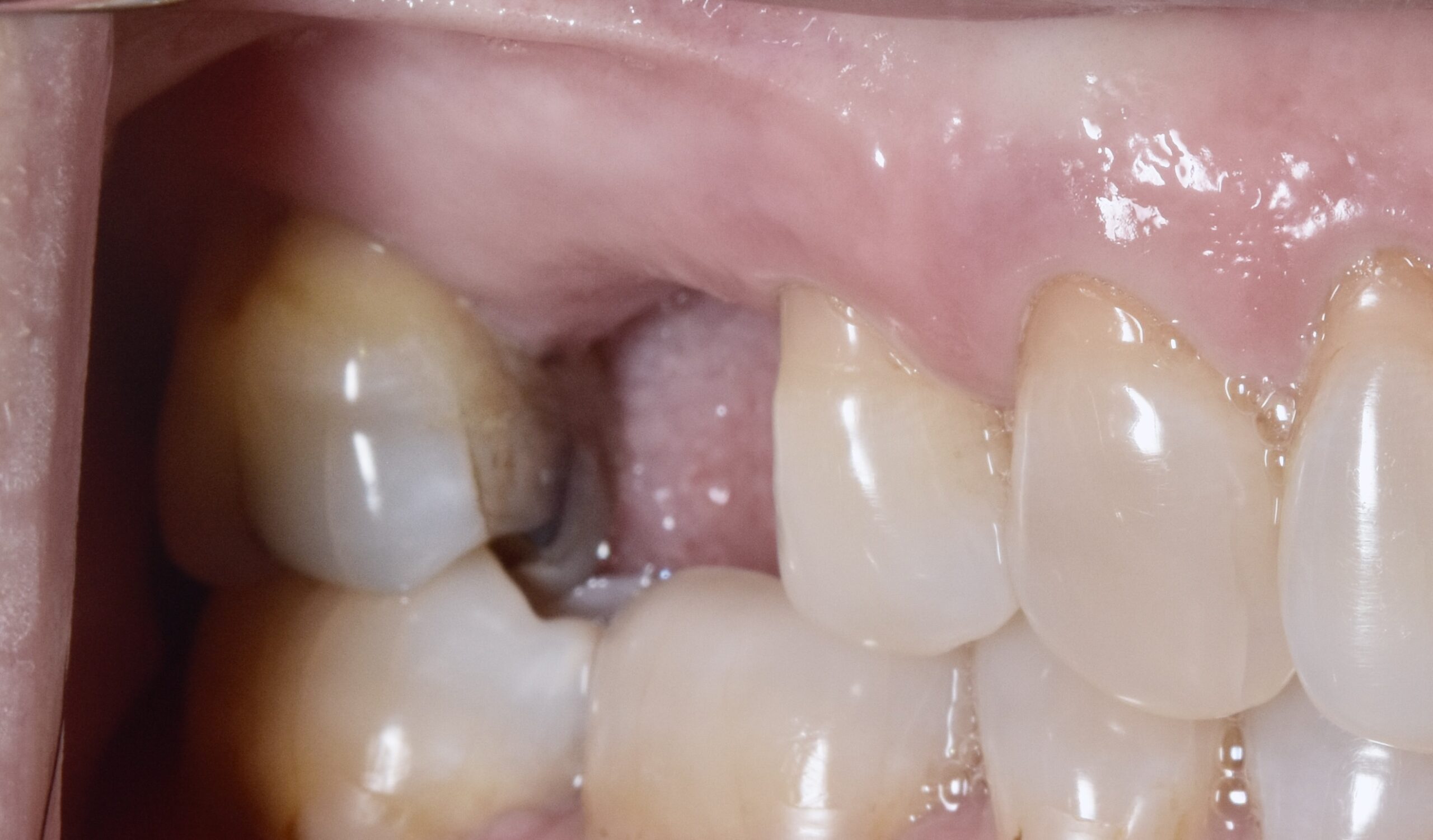
上顎の奥歯を失ってから長期間が経過し、
インプラント治療を希望されていましたが、骨の高さが不足しているため難しいと言われたことがあり、しっかり噛めるように治療したいとのご希望がありました。
■ 治療内容
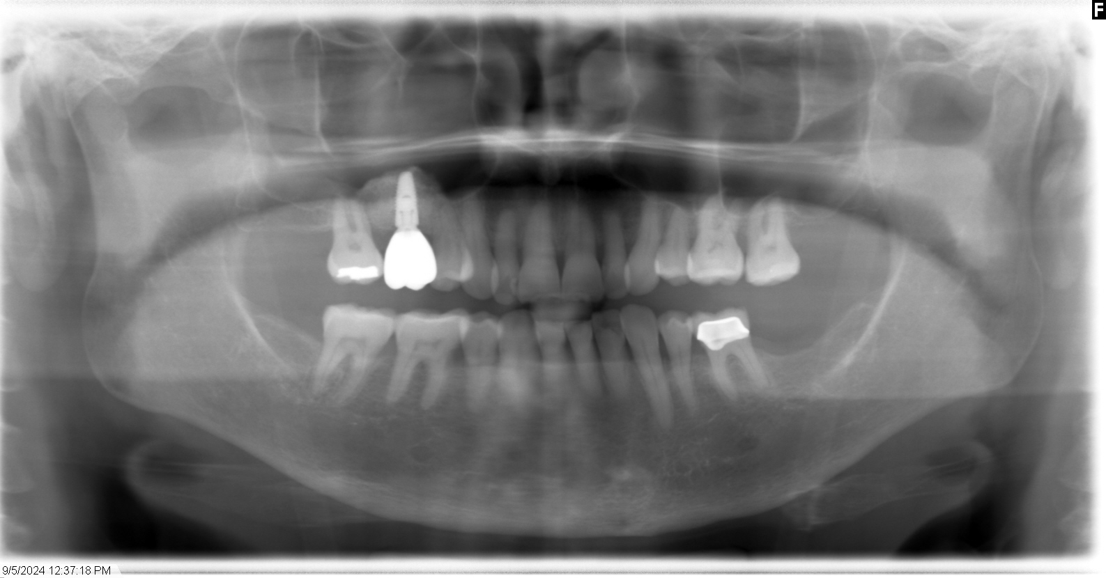
上顎奥歯部の骨量不足に対して、
**サイナスリフト(上顎洞底挙上術)**を行い、骨の高さを確保したうえでインプラントを埋入しました。
骨が不足している部位に対して骨造成を行うことで、
インプラントを安定して支えられる状態を整えたうえで治療を進めています。
■ 治療経過
サイナスリフト後、治癒期間をおいて十分な骨の形成を確認し、インプラントを埋入しました。
その後、インプラントと骨の結合を確認し、最終補綴物を装着して治療を終了しました。
■ 治療期間
約8か月
■ 治療のポイント
上顎奥歯は、歯を失ったまま時間が経つと骨が薄くなり、
そのままではインプラント治療が難しいことがあります。
今回の症例では、サイナスリフトを行うことで
・インプラントに必要な骨の高さを確保できた
・安定性の高いインプラント治療が可能になった
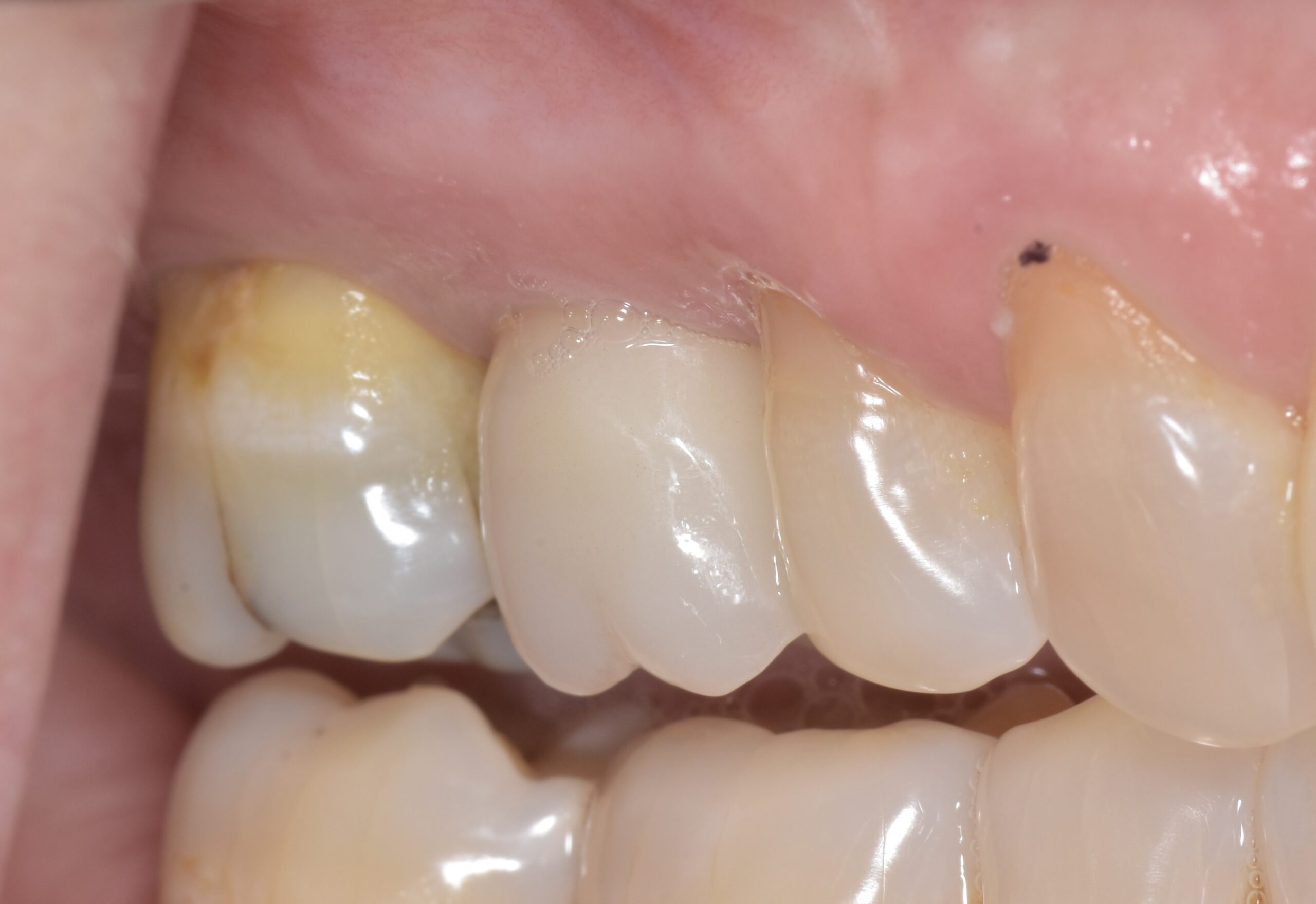
・しっかり噛める機能回復につながった
という点がポイントです。
また、骨の状態に応じて適切な処置を行うことで、
安全性に配慮しながら治療を進めています。
初診時


術後


■ 治療総額
サイナスリフト ¥200,000(税抜)
インプラント治療 ¥478,000(税抜)
※症例により異なります
仙台でインプラント治療をご検討中の方に、無料相談を行っております。
骨が少ないと言われた方や、
他院でインプラントが難しいと言われた方も、まずはお気軽にご相談ください。
当院では、アメリカの大学院にてインプラント治療を専門的に研修・研究した歯科医師が、丁寧な診断と安全性を重視した治療を行っています。
▶ インプラント無料相談はこちら
https://wisteria.dental/cancellation-policy
当院のインプラント治療について詳しくは、インプラント治療のご案内ページをご覧ください。
https://wisteria.dental/implant
※本症例は治療の一例であり、すべての方に同様の結果を保証するものではありません。
※お口の状態や骨の量・質、全身状態により、適応や治療内容・期間は異なります。
※インプラント治療および骨造成には、腫れ・痛み・出血・感染・治癒不全などのリスクが伴う場合があります。
院長 上村 俊介
ロマリンダ大学歯学部 インプラント科
Master of Science in Dentistry(MSD)取得
仙台ウィステリアデンタルクリニック院長。
米国Loma Linda Universityにてインプラント治療を専門的に研修・研究し、チーフレジデントを務める。現在は仙台にて、診査・診断を重視したインプラント治療を行っている。





