院長の上村が行った症例です。
■ 主訴
歯がない部分に、できるだけ痛みや腫れの少ない方法でインプラント治療を受けたいとご希望されました。
■ 治療内容
CTによる精密検査で、顎の骨や歯肉の状態を詳細に確認したうえで、
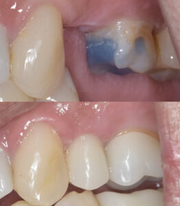
**歯ぐきを切開しない「フラップレスインプラント手術」**を行いました。
フラップレス手術は、歯肉を切らずにインプラントを埋入する治療法で、
-
術後の腫れや痛みが少ない
-
出血を最小限に抑えられる
-
身体への負担が軽い
といったメリットがあります。
■ 治療経過
手術後は大きな腫れやトラブルもなく経過は良好でした。
術後約3か月で最終補綴物を装着し、治療を終了しました。
■ 治療期間
約3か月
■ 治療のポイント
フラップレスインプラント治療は、すべての方に適応できるわけではありません。
以下の条件が重要となります。
-
顎の骨量・骨質が十分にあること
-
歯肉や周囲組織の状態が良好であること
-
CTによる正確な診断と治療計画
- 見えない骨の中へ正確にインプラントを埋入する経験と技術
当院では、安全性を最優先に、切らない治療が適しているかを慎重に判断しています。
初診時

インプラントフラップレス手術中

インプラントフラップレス手術後

補綴後(治療前後比較)

治療総額 ¥478,000 (税抜)
「切らないインプラント治療(フラップレス手術)」は、痛みや腫れが不安な方にとって有効な選択肢のひとつです。
仙台でインプラント治療をご検討中の方に、無料相談を行っております。
ご不安な点や疑問点がございましたら、お気軽にご相談ください。
当院では、アメリカの大学院にてインプラント治療を専門的に研修・研究した歯科医師が、丁寧な診断と安全性を重視した治療を行っています。
▶ インプラント無料相談はこちら
https://wisteria.dental/cancellation-policy
当院のインプラント治療について詳しくは、インプラント治療のご案内ページhttps://wisteria.dental/implantをご覧ください。
※本症例は治療の一例であり、すべての方に同様の結果を保証するものではありません。
※お口の状態や骨の量・質、全身状態により、適応や治療内容・期間は異なります。
※インプラント治療には、腫れ・痛み・感染・治癒不全などのリスクが伴う場合があります。






