こんにちは🎀
仙台ウィステリアデンタルクリニックです。
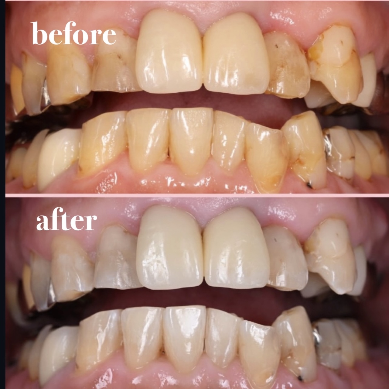
先日仙台で有名なインフルエンサー『ピンクのゆーじ様』がご来院され、ホワイトニングを行いました🦷✨
仕上がりも大変ご満足いただき、術後は自然なトーンアップでより魅力的な笑顔になりました😊🩷
人前に立つ機会が多い方にとって、歯の白さは大きな武器になります✨
ホワイトニングは、ただ白くするわけではなく、顔全体の印象をワントーン明るく見せる効果があります💁
🩷限定キャンペーン🩷
現在、ピンクのユージさんのInstagramをご覧いただいた方限定で
「見た」とお伝えいただくと…
通常¥28000(税込30800)➡️ ¥1000OFF✨
でオフィスホワイトニングを受けていただけます🍀
「歯を白くしたいけど不安」「自分に合うかわからない」という方もまずは、お気軽にご相談ください‼︎
この機会にぜひホワイトニング体験してみてください🪥✨
スタッフ一同、皆様のご来院をお待ちしております。


監修:院長 上村 俊介
ロマリンダ大学歯学部 インプラント科
Master of Science in Dentistry(MSD)取得
仙台ウィステリアデンタルクリニック院長。
米国Loma Linda Universityにてインプラント治療を専門的に研修・研究し、チーフレジデントを務める。現在は仙台にて、診査・診断を重視したインプラント治療を行っている。






